41,9599$% 0,31
48,8833€% 0,52
5.388,57%0,50
9.245,00%0,42
36.866,00%0,41
10.853,43%-0,81
02:00
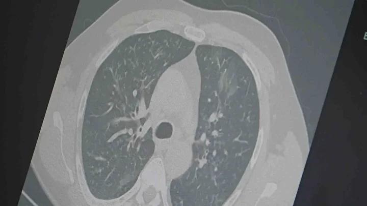
Sonbahar ve mevsim geçişleriyle birlikte solunum yolu enfeksiyonlarında yeniden artış yaşanıyor. Uzmanlar, grip, COVID-19 ve RSV virüslerinin aynı dönemde yayılmasıyla ‘üçlü salgın’ riskine dikkat çekiyor. Hava sıcaklıklarında ani değişiklikler bağışıklık sistemini zayıflatırken, bu durum enfeksiyonların yayılma hızını artırıyor.
Göğüs Hastalıkları Uzmanı Prof. Dr. Şevket Özkaya, mevsimsel değişimlerin bağışıklık direncini düşürdüğünü ve bunun da enfeksiyonları uzattığını belirtiyor. Bu süreçte, virüslerin özellikle hızla yayılan yeni varyantlarıyla karşılaşmak mümkün oluyor. Türkiye’de son zamanlarda tespit edilen “Frankenstein varyantı” adını alan yeni tür, salgını daha ciddi hale getirebilir.
Prof. Dr. Özkaya, yeni varyantın Türkiye’de de görüldüğünü ifade ederek, “Mevcut klinik tabloda kritik veya yaşamı tehdit eden durumlar henüz oluşmadı. Ancak bu varyantın bulaşıcılığı çok yüksek ve Avrupa ile Asya’da hızlı bir şekilde yayılıyor,” diye konuştu.

Uzmanlar, grip ve COVID-19’un, özellikle tedavi edilmediğinde veya iyileşme sürecinde zatürreye dönüşme riskinin yüksek olduğunu belirtiyor. Dr. Özkaya, “Hastalıklar akciğerlere inip ciddi solunum problemlerine yol açabiliyor, bu da hastaneye yatış oranlarını artırıyor,” diyerek uyarıda bulunuyor.

Salgının, günlük yaşamı çok fazla aksatmamasına rağmen, dikkat edilmezse hızla yayılmaya devam ettiği vurgulanıyor. “Virüsler, hastalanmadan ya da tam iyileşmeden toplumda dolaşmaya devam ediyor. Dinlenmeden ve izolasyon uygulamadan enfekte kişiler, enfeksiyon zincirini sürdürüyor,” diyor Prof. Dr. Özkaya.

Doktorlar, vatandaşlara herhangi bir grip benzeri belirti fark edildiğinde evde dinlenmeyi öneriyor. Ayrıca, öksürük ve nefes darlığı gibi belirtilerde mutlaka sağlık kuruluşlarına başvurulması önemli. Uygun tanı ve tedavi alarak, ciddi komplikasyonların önüne geçmek mümkün oluyor.




Film Atölyesi ve Unutulmaz Sahne Anıları
1
Sevcan Orhan Kıbrıs’ta Sahne Alırken Kalp Krizi Geçirdi
472 kez okundu
2
Eşref Rüya 19. Bölüm Full HD İzleme ve Yeni Bölüm Fragmanları
382 kez okundu
3
Sevgi Birsel Hayata Gözlerini Yumdu
326 kez okundu
4
Barış Arduç ve Gupse Özay’ın Evlilik ve Aşk Hikayesi
296 kez okundu
5
Manisa Büyükşehir Belediye Başkanı Ferdi Zeyrek elektrik akımına kapıldı
282 kez okundu
2025 Ekim Ayında Göklerdeki Cumhuriyet Kutlaması Programları
Belçika’nın F-35 Teslimatı ve Hava Sahası Sınırlamaları
Anadolu Efes’ten Papagiannis Sakatlığı Hakkında Güncel Bilgilendirme
Game of Thrones’un Bran Stark’ı Hayatını Birleştirdi: İşte Mutlu Haberler
29 Ekim Cumhuriyet Bayramı: Türk Milletinin Bağımsızlık ve Birlik Günü
Gazze’deki Son Durum: Can Kayıpları ve Ateşkes Süreci Güncellemeleri
Devlet Bahçeli’den 29 Ekim Cumhuriyet Bayramı Mesajıyla Birlik ve Huzur Vurgusu
İzmir’de Birlik ve Güç Mesajlarıyla Terörle Mücadelede Yeni Dönem
Anadolu Efes’ten Papagiannis Ameliyat Bildirisi ve Güncel Durum
29 Ekim Resmi Tatilinde Noter Hizmetleri ve Nöbetçi Noter Durumu